اکسین دنتال, کامپوزیت ونیر

کامپوزیت ونیر

کامپوزیت ونیر

کامپوزیت ونیر

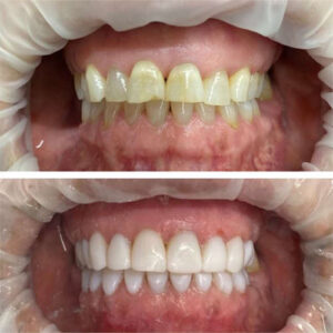
کامپوزیت ونیر روشی نوین در دندانپزشکی زیبایی است که با استفاده از مواد همرنگ دندان، ظاهر لبخند را اصلاح می‌کند. این روش برای برطرف کردن تغییر رنگ، فاصله بین دندان‌ها و ناهماهنگی‌های جزئی کاربرد دارد و معمولاً در یک جلسه انجام می‌شود. هزینه مناسب‌تر و حداقل تراش دندان، آن را به گزینه‌ای محبوب برای اصلاح طرح لبخند تبدیل کرده است. برای کسب اطلاعات بیشتر درباره کامپوزیت ونیر، با همکاران ما در اکسین دنتال در ارتباط باشید.

کامپوزیت ونیر

کامپوزیت ونیر چیست؟

کامپوزیت ونیر لایه‌ای نازک از مواد رزینی همرنگ دندان است که مستقیماً روی سطح خارجی دندان‌ها قرار می‌گیرد و با فرم‌دهی تخصصی، ظاهر دندان را اصلاح می‌کند. این مواد با استفاده از تکنولوژی‌های نوین و ابزارهای مخصوص، به‌صورت لایه‌لایه روی دندان شکل داده می‌شوند و سپس با نور مخصوص سخت می‌گردند.

برخلاف لمینت سرامیکی که در لابراتوار ساخته می‌شود، کامپوزیت ونیر در مطب و معمولاً در یک جلسه انجام می‌شود. همین موضوع باعث شده است که این روش نسبت به سایر روش‌های اصلاح طرح لبخند سریع‌تر و مقرون‌به‌صرفه‌تر باشد.

کاربردهای کامپوزیت ونیر

کامپوزیت ونیر برای رفع مشکلات زیر کاربرد دارد:

  1. اصلاح تغییر رنگ شدید دندان‌ها
  2. بستن فاصله بین دندان‌ها (دیاستم)
  3. اصلاح لب‌پریدگی یا شکستگی‌های جزئی
  4. اصلاح نامرتبی‌های خفیف
  5. بهبود فرم و اندازه دندان‌ها
  6. یکدست‌سازی طرح لبخند

در بسیاری از موارد که افراد تمایلی به ارتودنسی ندارند، کامپوزیت ونیر می‌تواند گزینه‌ای جایگزین برای اصلاح مشکلات خفیف ظاهری باشد.

مراحل انجام کامپوزیت ونیر

فرآیند انجام کامپوزیت ونیر معمولاً شامل مراحل زیر است:

مشاوره و بررسی وضعیت دهان و دندان
در این مرحله دندانپزشک وضعیت سلامت لثه و دندان‌ها را بررسی می‌کند. وجود پوسیدگی یا بیماری لثه باید پیش از انجام درمان برطرف شود.

انتخاب رنگ مناسب
انتخاب رنگ کامپوزیت بر اساس رنگ پوست، فرم صورت و سلیقه بیمار انجام می‌شود تا نتیجه‌ای طبیعی حاصل شود.

آماده‌سازی سطح دندان
در بیشتر موارد تراش دندان بسیار کم یا حتی صفر است. این موضوع یکی از مزایای مهم کامپوزیت ونیر محسوب می‌شود.

قرار دادن و فرم‌دهی کامپوزیت
مواد کامپوزیتی به‌صورت لایه‌ای روی دندان قرار گرفته و فرم‌دهی می‌شوند.

پالیش و پرداخت نهایی
در پایان، سطح دندان‌ها پولیش می‌شود تا درخشندگی و صافی مطلوب ایجاد گردد.

کامپوزیت ونیر

مزایای کامپوزیت ونیر

کامپوزیت ونیر دارای مزایای قابل توجهی است که آن را به گزینه‌ای محبوب تبدیل کرده است:

  • انجام در یک جلسه
  • هزینه کمتر نسبت به لمینت سرامیکی
  • حداقل تراش دندان
  • قابلیت ترمیم در صورت آسیب
  • امکان تغییر رنگ یا اصلاح فرم در آینده
  • برگشت‌پذیری بیشتر نسبت به روش‌های تهاجمی‌تر

این ویژگی‌ها باعث شده است که بسیاری از افراد جوان یا کسانی که به‌دنبال راهکاری سریع هستند، کامپوزیت ونیر را انتخاب کنند.

معایب کامپوزیت ونیر

با وجود مزایای متعدد، کامپوزیت ونیر بدون ایراد نیست:

  1. احتمال تغییر رنگ در طول زمان
  2. مقاومت کمتر نسبت به لمینت سرامیکی
  3. نیاز به مراقبت بیشتر
  4. ماندگاری کمتر نسبت به روش‌های سرامیکی

مصرف زیاد چای، قهوه و سیگار می‌تواند باعث تغییر رنگ کامپوزیت شود. بنابراین رعایت بهداشت دهان و مراجعه منظم برای پالیش دوره‌ای اهمیت زیادی دارد.

ماندگاری کامپوزیت ونیر چقدر است؟

به‌طور میانگین، ماندگاری کامپوزیت ونیر بین ۵ تا ۷ سال است؛ البته این عدد به عوامل مختلفی بستگی دارد:

  • مهارت دندانپزشک
  • کیفیت مواد استفاده‌شده
  • رعایت بهداشت دهان و دندان
  • عادات غذایی و رفتاری (مانند دندان‌قروچه)

در صورت مراقبت صحیح، حتی ممکن است دوام آن بیشتر نیز باشد. استفاده از محافظ شبانه برای افرادی که دندان‌قروچه دارند توصیه می‌شود.

تفاوت ونیر کامپوزیت با لمینت سرامیکی

یکی از سوالات رایج بیماران، تفاوت بین ونیر کامپوزیت و لمینت سرامیکی است. لمینت سرامیکی معمولاً از جنس پرسلن ساخته شده و در لابراتوار طراحی می‌شود. این روش دوام و مقاومت بالاتری دارد و در برابر تغییر رنگ مقاوم‌تر است؛ اما هزینه بیشتری داشته و معمولاً نیاز به تراش بیشتر دندان دارد.

در مقابل، ونیر کامپوزیت سریع‌تر، اقتصادی‌تر و کم‌تهاجمی‌تر است اما مقاومت کمتری دارد. انتخاب بین این دو روش به شرایط دندان، بودجه و انتظارات زیبایی فرد بستگی دارد.

مراقبت‌های بعد از ونیر کامپوزیت

برای افزایش طول عمر ونیر کامپوزیت رعایت نکات زیر ضروری است:

  1. مسواک زدن حداقل دو بار در روز
  2. استفاده از نخ دندان
  3. پرهیز از گاز زدن مواد غذایی بسیار سخت
  4. کاهش مصرف نوشیدنی‌های رنگی
  5. مراجعه منظم برای چکاپ و پالیش

همچنین بهتر است از باز کردن در بطری یا شکستن اجسام سخت با دندان خودداری کنید، زیرا این کار می‌تواند باعث لب‌پریدگی کامپوزیت شود.

آیا ونیر کامپوزیت برای همه مناسب است؟

افرادی که پوسیدگی گسترده، بیماری فعال لثه یا نامرتبی شدید دندان دارند، ممکن است گزینه مناسبی برای ونیر کامپوزیت نباشند. در چنین شرایطی ابتدا باید درمان‌های پایه مانند جرم‌گیری، درمان لثه یا ارتودنسی انجام شود.

همچنین افرادی که عادت شدید به دندان‌قروچه دارند، باید پیش از انجام این روش با دندانپزشک مشورت دقیق داشته باشند.

هزینه ونیر کامپوزیت

هزینه ونیر کامپوزیت به عوامل مختلفی بستگی دارد:

  1. تعداد دندان‌های مورد نظر
  2. کیفیت و برند مواد کامپوزیتی
  3. تجربه و تخصص دندانپزشک
  4. موقعیت جغرافیایی کلینیک

معمولاً این روش نسبت به لمینت سرامیکی مقرون‌به‌صرفه‌تر است و همین موضوع آن را به گزینه‌ای محبوب در بین متقاضیان زیبایی دندان تبدیل کرده است.

کامپوزیت ونیر
جمع‌بندی

ونیر کامپوزیت روشی سریع، کم‌تهاجمی و اقتصادی برای اصلاح طرح لبخند است که می‌تواند در مدت کوتاهی ظاهر دندان‌ها را متحول کند. با این حال، انتخاب این روش باید پس از مشاوره تخصصی و بررسی کامل وضعیت دهان و دندان انجام شود. اگر به‌دنبال لبخندی زیبا با حداقل تغییر در ساختار طبیعی دندان‌های خود هستید، ونیر کامپوزیت می‌تواند گزینه‌ای مناسب برای شما باشد.

دیدگاهتان را بنویسید

نشانی ایمیل شما منتشر نخواهد شد. بخش‌های موردنیاز علامت‌گذاری شده‌اند *