روکش زیرکونیا
روکش زیرکونیا
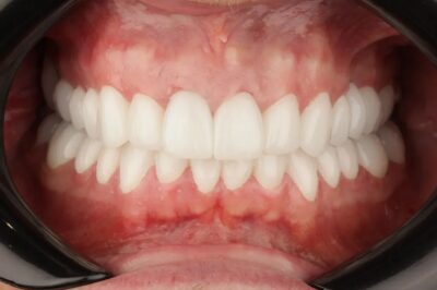
روکش زیرکونیا یک ترمیم دندانی پیشرفته و کاملاً زیستسازگار است که از اکسید زیرکونیوم ساخته میشود. این روکش به دلیل استحکام بسیار بالا (مشابه فلز)، زیبایی طبیعی (همرنگ دندان) و مقاومت عالی در برابر شکست، به عنوان یکی از بادوامترین و پرطرفدارترین گزینهها برای بازسازی تاج دندانهای خلفی و قدامی شناخته میشود. در رابطه با بازسازی تاج دندان با پرسنل کلینیک دندانپزشکی اکسین با نمونه کار های متنوع در این راستا در ارتباط باشید.

شناخت ماده زیرکونیا؛ از معدن تا دندانپزشکی
تاریخچه و کشف زیرکونیا
زیرکونیا (Zirconia) یا دیاکسید زیرکونیوم (ZrO₂) ابتدا در سال ۱۷۸۹ توسط شیمیدان آلمانی، مارتین هاینریش کلاپروت، کشف شد. این ماده معدنی از سنگ زیرکون استخراج میشود و به دلیل خواص منحصربهفردش، ابتدا در صنایع هوافضا و پزشکی (مفاصل مصنوعی) استفاده شد. ورود زیرکونیا به دندانپزشکی در دهه ۱۹۹۰ آغاز شد و با پیشرفت تکنولوژی CAD/CAM، به یکی از محبوبترین مواد دندانپزشکی تبدیل گردید.
ساختار مولکولی و انواع زیرکونیا در دندانپزشکی
زیرکونیای دندانپزشکی در سه ساختار کریستالی اصلی وجود دارد:
- زیرکونیای مونوکلینیک: ساختار در دمای اتاق، ناپایدار
- زیرکونیای تتراگونال: ساختاری که با اضافه کردن اکسیدهای تثبیتکننده (ایتریا) پایدار میشود
- زیرکونیای مکعبی: ساختار با استحکام کمتر اما شفافتر
انواع زیرکونیای دندانپزشکی از نظر تراکم و شفافیت:
- زیرکونیای سنتی (کدر): استحکام بسیار بالا (۱۲۰۰-۱۴۰۰ مگاپاسکال)، مناسب دندانهای خلفی
- زیرکونیای نیمهشفاف: تعادل خوب استحکام و زیبایی (۸۰۰-۱۰۰۰ مگاپاسکال)
- زیرکونیای هایترانس (شفاف): زیبایی استثنایی (۵۰۰-۷۰۰ مگاپاسکال)، مناسب دندانهای قدامی
- زیرکونیای مولتیلیر (چندلایه): ترکیبی از لایههای با شفافیت مختلف برای طبیعیترین ظاهر
مزایای منحصربهفرد روکش زیرکونیا
استحکام و دوام بینظیر
- مقاومت فشاری: ۲۰۰۰ مگاپاسکال (بیش از ۵ برابر سرامیک معمولی)
- مقاومت خمشی: ۹۰۰-۱۴۰۰ مگاپاسکال
- مقاومت در برابر شکست: چقرمگی شکست ۶-۱۰ مگاپاسکال√m
- عدم ترکخوردگی: برخلاف سرامیکهای سنتی که ممکن است ترکهای میکروسکوپی داشته باشند
- تحمل فشارهای جویدنی: حتی در دندانهای آسیاب با فشار بالا
زیبایی طبیعی و شبیهسازی دندان
- شفافیت قابل تنظیم: امکان ساخت روکش با شفافیت مشابه دندان طبیعی
- انعکاس نور طبیعی: برخلاف روکشهای PFM که ظاهر مات دارند
- قابلیت رنگپذیری: پذیرش رنگ به خوبی و امکان تطابق کامل با دندانهای مجاور
- عدم تغییر رنگ با گذشت زمان: مقاوم در برابر لکههای ناشی از قهوه، چای و سیگار
- حاشیه نازک: امکان طراحی حاشیههای بسیار نازک (۰.۳-۰.۵ میلیمتر) برای ظاهر طبیعیتر
زیستسازگاری عالی
- عدم حساسیتزایی: فاقد نیکل و سایر فلزات حساسیتزا
- سازگاری با بافت لثه: کاهش التهاب لثه در مقایسه با روکشهای فلزی
- عدم خوردگی: مقاوم در برابر محیط اسیدی دهان
- جذب پلاک کمتر: سطح صیقلیتر که تجمع باکتریها را کاهش میدهد
- پاسخ ایمنی مناسب: عدم ایجاد واکنشهای آلرژیک یا رد بافت
ویژگیهای فیزیکی برتر
- هدایت حرارتی پایین: کاهش حساسیت به سرما و گرما
- انبساط حرارتی مشابه دندان: کاهش خطر شکست به دلیل تفاوت انبساط
- سختی مناسب: نه آنقدر سخت که به دندان مقابل آسیب بزند، نه آنقدر نرم که سریع ساییده شود
- چگالی بالا: مقاومت در برابر سایش طولانیمدت
کاربردهای کلینیکی روکش زیرکونیا
موارد تجویز روکش زیرکونیا
- دندانهای عصبکشی شده: به دلیل استحکام بالا و محافظت از دندان شکننده
- دندانهای با تخریب گسترده: که نیاز به پوشش کامل دارند
- ایمپلنتهای دندانی: به عنوان اباتمنت و تاج روی ایمپلنت
- بریجهای دندانی: حتی دهانههای بلند (تا ۴ واحدی)
- بازسازی دندانهای قدامی: با انواع شفاف زیرکونیا برای زیبایی مطلوب
- بیماران با دندانقروچه (براکسیزم): به دلیل مقاومت سایشی بالا
- بیماران آلرژیک: به فلزات دندانپزشکی
محدودیتها و موارد عدم تجویز
- فضای عمودی بسیار کم: نیاز به حداقل ۱ میلیمتر فضای اکلوزال
- مهارت ناکافی دندانپزشک: نیاز به دانش و تجربه خاص
- لابراتوارهای نامناسب: نیاز به تجهیزات پیشرفته ساخت
- انتظارات زیبایی غیرواقعی: در برخی موارد خاص، مواد دیگر ممکن است نتایج زیبایی بهتری داشته باشند
فرآیند ساخت و نصب روکش زیرکونیا
مراحل درمانی کامل
تشخیص و آمادهسازی
- معاینه کامل و رادیوگرافی
- تعیین طرح درمان و انتخاب نوع زیرکونیا
- بیحسی موضعی
- تراش دندان (معمولاً ۱-۱.۵ میلیمتر)
- قالبگیری دیجیتال یا سنتی
- ساخت و نصب روکش موقت
فرآیند ساخت در لابراتوار:
- اسکن مدل یا قالب دیجیتال
- طراحی سهبعدی با نرمافزار CAD
- فرزکاری بلوک زیرکونیا با دستگاه CAM
- زینترینگ (پخت در کوره با دمای ۱۵۰۰-۱۵۵۰ درجه سانتیگراد)
- رنگآمیزی و گلیز (در صورت نیاز)
- پولیش نهایی
نصب روکش دائمی
- برداشتن روکش موقت
- آزمایش تطابق و زیبایی روکش زیرکونیا
- سیمانگذاری (با سیمان رزینی یا شیشهایونومر)
- پولیش نهایی و تنظیم اکلوژن
تکنولوژی CAD/CAM در ساخت روکش زیرکونیا
- سیستم داخل مطبی: ساخت روکش در یک جلسه (مثل CEREC)
- سیستم لابراتواری: دقت بیشتر و امکان ساخت زیرکونیای چندلایه
- اسکنرهای دیجیتال: دقت ۲۰-۵۰ میکرون
- نرمافزارهای طراحی: امکان پیشنمایش نتیجه نهایی
- دستگاههای فرزکاری ۵-محوره: ایجاد جزئیات دقیق

انواع روکشهای زیرکونیا از نظر ساختاری
روکش زیرکونیای مونولیت (یکپارچه)
- ساختار کاملاً از زیرکونیا بدون پوشش چینی
- استحکام بسیار بالا
- سایش کمتر دندان مقابل
- ظاهر ممکن است کمی ماتتر باشد
- مناسب دندانهای خلفی
روکش زیرکونیای چینیفشرده (لیمریک)
- فریم زیرکونیا با پوشش چینی دندانپزشکی
- زیبایی طبیعیتر
- امکان شکسته شدن لایه چینی
- نیاز به فضای بیشتر
- مناسب دندانهای قدامی
روکش زیرکونیای چندلایه (گرادیان)
- تغییر تدریجی شفافیت از لایه داخلی به خارجی
- طبیعیترین ظاهر
- تکنولوژی پیشرفته و هزینه بالاتر
- نیاز به لابراتوارهای مجهز
روکش زیرکونیای هیبرید (ترکیبی)
- ترکیب با سایر مواد مانند کامپوزیت
- خاصیت ضربهگیری بهتر
- تعمیرپذیری آسانتر
- استحکام کمتر نسبت به انواع دیگر
مراقبت و نگهداری از روکش زیرکونیا
مراقبتهای روزانه
- مسواک زدن: دو بار در روز با مسواک نرم و خمیردندان غیرساینده
- نخ دندان: استفاده روزانه با دقت در ناحیه اتصال روکش و دندان
- دهانشویه: استفاده از دهانشویه غیرالکلی برای سلامت لثه
- تمیزکنندههای بین دندانی: برسهای بین دندانی برای نواحی وسیع
مراقبتهای تغذیهای
- پرهیز از: شکستن مواد سخت (یخ، آجیل، استخوان)
- کاهش مصرف: مواد رنگی شدید (زعفران، زردچوبه، سسهای رنگی)
- محدود کردن: نوشیدنیهای اسیدی (نوشابه، آبمرکبات)
- اجتناب از: عادات مخرب (جویدن ناخن، مداد، دندانقروچه)
معاینات منظم دندانپزشکی
- چکاپ هر ۶ ماه: بررسی وضعیت روکش و سلامت لثه
- جرمگیری حرفهای: با ابزار مناسب برای جلوگیری از آسیب به سطح روکش
- ارزیابی اکلوژن: بررسی تماسهای جویدنی و اصلاح در صورت نیاز
علائم هشداردهنده نیاز به بررسی
- لق شدن روکش
- درد یا حساسیت مداوم
- تورم یا خونریزی لثه اطراف روکش
- شکستگی یا ترک در روکش
- تغییر رنگ واضح لبه روکش
طول عمر، ماندگاری و آمار موفقیت
آمار موفقیت بالینی
- نرخ بقای ۱۰ ساله: ۹۵-۹۸٪ برای روکشهای زیرکونیا
- نرخ موفقیت در ایمپلنت: ۹۷٪ پس از ۵ سال
- کمترین میزان شکست: در مقایسه با سایر مواد ترمیمی
- رضایت بیمار: بیش از ۹۰٪ گزارش رضایت بالا
عوامل مؤثر بر طول عمر روکش زیرکونیا
- کیفیت مواد: درجه خلوص و ساختار کریستالی زیرکونیا
- دقت ساخت: کیفیت طراحی و ساخت CAD/CAM
- تکنیک نصب: دقت دندانپزشک در سیمانگذاری
- مراقبت بیمار: رعایت بهداشت و پرهیزهای غذایی
- موقعیت دندان: دندانهای خلفی فشار بیشتری تحمل میکنند
میانگین ماندگاری
- زیرکونیای مونولیت: ۱۵-۲۰ سال
- زیرکونیای چینیفشرده: ۱۰-۱۵ سال
- روکش روی ایمپلنت: ۱۵-۲۵ سال
هزینه و مقرونبهصرفه بودن روکش زیرکونیا
عوامل مؤثر بر قیمت روکش زیرکونیا
- نوع زیرکونیا: هایترانس و چندلایه گرانتر
- تکنولوژی ساخت: CAD/CAM هزینه بیشتری دارد
- تخصص دندانپزشک: تجربه و مهارت پزشک
- موقعیت جغرافیایی: تفاوت هزینه در شهرهای مختلف
- لابراتوار ساخت: کیفیت مواد و تجهیزات
تحلیل هزینه-کارایی
- هزینه اولیه:** ۲۰-۴۰٪ بیشتر از روکش PFM
- هزینه بلندمدت:** کمتر به دلیل ماندگاری بیشتر و نیاز کمتر به تعویض
- کاهش هزینههای جانبی:** نیاز کمتر به درمانهای تکمیلی
- ارزش زیبایی:** غیرقابل اندازهگیری
پوشش بیمهای
- بیمههای پایه: معمولاً مانند روکش PFM پوشش داده میشود
- بیمههای تکمیلی: ممکن است پوشش بهتری ارائه دهند
- طرحهای درمانی خاص: در برخی موارد خاص پوشش کامل دارند
سؤالات متداول و باورهای غلط
آیا روکش زیرکونیا کاملاً طبیعی به نظر میرسد؟
با پیشرفت تکنولوژی، روکشهای زیرکونیای مدرن (هایترانس و چندلایه) ظاهری کاملاً طبیعی دارند و حتی دندانپزشکان نیز ممکن است در تشخیص آن از دندان طبیعی دچار اشتباه شوند.
آیا زیرکونیا باعث حساسیت دندان میشود؟
خیر، زیرکونیا هدایت حرارتی پایینی دارد و حتی ممکن است حساسیت دندان را نسبت به روکشهای فلزی کاهش دهد.
آیا روکش زیرکونیا برای MRI مشکل ایجاد میکند؟
خیر، زیرکونیا غیرفلزی و پارامغناطیس است و هیچ گونه اختلالی در تصویربرداری MRI ایجاد نمیکند.
تفاوت زیرکونیا و زیرکونیوم چیست؟
زیرکونیا اکسید زیرکونیوم است که در دندانپزشکی استفاده میشود، در حالی که زیرکونیوم فلز خالص است که کاربرد دندانپزشکی ندارد.
آیا روکش زیرکونیا نیاز به تراش بیشتری دارد؟
خیر، به دلیل استحکام بالا، روکش زیرکونیا نیاز به تراش کمتری (گاهی تا ۰.۵ میلیمتر) نسبت به روکش PFM دارد.

نتیجهگیری
روکش زیرکونیا بدون شک یکی از برجستهترین دستاوردهای دندانپزشکی مدرن است که توانسته آرزوی دیرینه دندانپزشکان و بیماران برای داشتن ترمیمی همزمان مستحکم، زیبا و زیستسازگار را محقق کند. با ترکیب استحکام بینظیر، زیبایی طبیعی و سازگاری عالی با بدن انسان، روکش زیرکونیا استاندارد جدیدی در دندانپزشکی ترمیمی ایجاد کرده است.
نکات کلیدی برای تصمیمگیری:
- برای دندانهای خلفی که نیاز به استحکام بالا دارند: زیرکونیای مونولیت
- برای دندانهای قدامی که زیبایی اولویت است: زیرکونیای هایترانس یا چندلایه
- برای بیماران با دندانقروچه: زیرکونیا بهترین گزینه
- برای ایمپلنتها: زیرکونیا به عنوان اباتمنت و تاج
توصیه نهایی: انتخاب بین انواع مختلف روکش دندان تصمیمی مهم است که باید با مشورت دندانپزشک متخصص و با توجه به شرایط خاص هر بیمار گرفته شود. روکش زیرکونیا ممکن است هزینه اولیه بالاتری داشته باشد، اما با توجه به ماندگاری طولانیمدت و کاهش نیاز به درمانهای تکمیلی، در بلندمدت میتواند مقرونبهصرفهتر باشد.
به یاد داشته باشید که موفقیت هر درمان دندانپزشکی علاوه بر مواد باکیفیت، به تخصص دندانپزشک، دقت در اجرا و مراقبتهای صحیح پس از درمان بستگی دارد. با انتخاب روکش زیرکونیا و مراقبت اصولی از آن، میتوانید سالها از لبخندی زیبا و دندانهای سالم لذت ببرید.